Ảnh chụp CT xác ướp 3,500 năm tuổi của Pharaoh Amenhotep I.

Lượt xem: 897

Một xác ướp được bao bọc rất kỹ với bề ngoài khá lạ và khác biệt, và được bảo quản bằng nghi thức chôn cất từ nhiều năm về trước, hiện giờ đã được mở ra – không phải bằng tay mà thông qua hình ảnh ảo – sử dụng máy chụp cắt lớp CT và phần mềm mô phỏng 3D.

[Việc bóc mở xác ướp này] đã hé lộ những bí ẩn về các vị vua của Ai Cập cổ đại.

(Ảnh: Đăng dưới sự cho phép của khoa học gia Sahar N. Saleem và Zahi Hawass)

Vào năm 1902, trong số những xác ướp hoàng gia được vận chuyển đến Bảo tàng Ai Cập tại Cairo là hài cốt của [pharaoh] Amenhotep I, người đã trị vì từ năm 1525 đến năm 1504 trước Công nguyên, thuộc Vương triều thứ 18. Hài cốt của ông được tìm thấy trong lăng mộ Luxor Deir el-Bahari Royal Cache — nơi chôn cất của các thành viên trong vương thất của Tân Vương quốc [Ai Cập], nhằm bảo vệ chúng khỏi những kẻ trộm mộ, vào khoảng hơn 3000 năm trước. 

Là một trong số ít những xác ướp toàn vẹn được khai quật ở thời hiện đại, [xác ướp của pharaoh] Amenhotep I đã khiến Giám đốc phụ trách cổ vật ở Ai Cập lúc bấy giờ là Gaston Maspero vô cùng kinh ngạc. 

Sach online

Xác ướp đã bị xâm phạm bởi các kẻ đột nhập mộ từ rất lâu trước đây, rồi lại được các tu sĩ dưới Vương triều thứ 21 cải táng. Việc cải táng ấy được thực hiện trang trọng cùng những vòng hoa màu vàng, đỏ và xanh, và cả một chiếc mặt nạ còn nguyên vẹn làm bằng giấy carton và gỗ phủ sơn được trang trí với đôi mắt cẩn đá obsidian và một con rắn hổ mang ở phần trán. 

Khi mở nắp quan tài của [pharaoh] Amenhotep I, [các nhà khoa học cũng phát hiện] một con ong bắp cày được bảo quản bên trong. Con ong có thể đã bị thu hút bởi mùi hương của những vòng hoa và bị mắc kẹt vào quan tài. Để giữ trọn vẹn sự khác biệt của nghi thức này, nhà khoa học Maspero đã giữ nguyên vẹn [xác ướp của] Vua Amenhotep I. 

Tuy nhiên, những tiến bộ công nghệ gần đây đã tạo ra khả năng “bóc mở” ảo cho xác ướp, hé lộ nhiều câu chuyện ẩn chứa bên trong. 

Xác ướp của [pharaoh] Amenhotep I với mặt nạ bằng gỗ phủ sơn và giấy carton. (Ảnh: Đăng dưới sự cho phép của Sahar N. Saleem và Zahi Hawass)

Một thiết bị chụp CT chuyên dụng đã được lắp đặt trên xe tải và đưa đến khu vườn của Bảo tàng Ai Cập. Ở đó, hài cốt của [pharaoh] Amenhotep I được khám nghiệm kỹ càng từng chi tiết, hết lớp này đến lớp khác bằng máy quét X-quang tối tân. Phần mềm hình ảnh cắt lớp đã sử dụng dữ liệu [thu thập được] và phục dựng một hình ảnh mô phỏng 3D, với những vật thể và chất liệu được xác định dựa trên độ dày mỏng của chúng, giúp những nhà nghiên cứu có thể giải phẫu bằng “dao mổ” kỹ thuật số và “bóc mở” ảo xác ướp. Phương pháp này sẽ hé lộ được cách thức ướp xác của [pharaoh] Amenhotep I, cách phá hoại các kẻ đột nhập mộ và cách phục hồi xác sau đó mà không làm tổn hại đến phần hài cốt. 

Vị vua bên trong xác ướp 

Dưới tấm vải lanh quấn xuyên suốt từ đầu đến chân của xác ướp, công việc của những người ướp xác đã hiển lộ rõ ràng. Một vết rạch dọc dài 9 cm đã được thực hiện tại vùng dưới sườn trái của [pharaoh] Amenhotep I cho thấy thủ thuật loại bỏ các cơ quan nội tạng; khoang bụng dưới chứa đầy vải lanh đã qua xử lý bằng nhựa cây. Tuy nhiên, trái tim đã không được lấy ra ngoài, bộ não cũng đã được phát hiện vẫn còn nguyên vẹn và nằm ở phía sau hộp sọ.

Hình ảnh chụp CT ba chiều phần đầu của xác ướp [pharaoh] Amenhotep I. (Ảnh: Đăng dưới sự cho phép của Sahar N. Saleem và Zahi Hawass)

Phần não bộ đã khô nằm ở phía sau hộp sọ. (Ảnh: Đăng dưới sự cho phép của Sahar N. Saleem và Zahi Hawass)

Hình ảnh CT ba chiều kỹ thuật số của khuôn mặt không được bao phủ của xác ướp [pharaoh] Amenhotep I. (Ảnh: Đăng dưới sự cho phép của Sahar N. Saleem và Zahi Hawass)

Xác ướp của [pharaoh] Amenhotep I được mô tả là có khuôn mặt trái xoan với đôi mắt trũng sâu và hai má hóp lại. Ông có phần mũi nhỏ, hẹp và tẹt, hàm răng hơi đưa ra ngoài. Ông cũng có đôi tai nhỏ với một chiếc khuyên nhỏ ở dái tai trái. Đáng chú ý là ông được phát hiện có một vài lọn tóc cuộn ở phía sau và hai bên đầu.

Các ước tính trước đây về tuổi của [pharaoh] Amenhotep I được thực hiện dựa trên phương pháp khám nghiệm bằng X-quang lần đầu tiên vào năm 1932 đã phát hiện ông [băng hà] trong khoảng từ 40 đến 50 tuổi. Sau đó vào năm 1967, bằng phương pháp phân tích răng, [các nhà khoa học đã định ra] ông qua đời ở năm 25 tuổi. Tuy nhiên, trong các lần chụp CT gần đây, [các nhà khoa học đã] quan sát tại phần khớp dính xương mu (phần xương ở phần xương chậu dưới trở nên nhẵn dần theo tuổi tác), đã định ra rằng ông qua đời ở tuổi 35.

Bùa bảo hộ và thần chú của các tu sĩ 

Ba mươi chiếc bùa bảo hộ / đồ trang sức cũng đã được tìm thấy. Những tấm bùa bảo hộ bằng kim loại, thạch anh, đá và đất sét nung với nhiều hình dạng và kiểu dáng khác nhau được bọc cùng với xác ướp tại nhiều vị trí khác nhau, một vị trí nằm bên trên trái tim và vị trí thứ hai là bên trong một lỗ hổng bất thường. 

Những người ướp xác sẽ đọc những câu thần chú và bọc những thứ này lại như một sự bảo hộ cho người đã khuất. Các vật dụng khác bao gồm một chuỗi gồm 34 hạt bằng vàng được đặt ở phần thắt lưng của xác ướp, ghim vào bằng xương hoặc ngà voi, và đinh kim loại được sử dụng trong quá trình bọc xác và để giữ cố định các chi.  

Cẳng tay phải được gập ở phần khuỷu tay và bắt chéo ngang bụng dưới. Cánh tay trái đã bị trật khớp và phần cẳng tay trái được đặt dọc theo bên trái của cơ thể. (Ảnh: Đăng dưới sự cho phép của Sahar N. Saleem và Zahi Hawass)

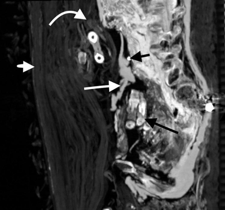
Hai ngón tay bị thiếu của bàn tay trái được đặt bên trong khoang cơ thể (nhìn theo hướng mũi tên dài màu đen). (Ảnh: Đăng dưới sự cho phép của Sahar N. Saleem và Zahi Hawass)

Bàn chân phải của xác ướp [pharaoh] Amenhotep I với những chiếc đinh có khả năng được ghim vào để cố định vị trí của mảng gỗ với các lớp bọc xung quanh. (Ảnh: Đăng dưới sự cho phép của Sahar N. Saleem và Zahi Hawass)

Những kẻ trộm mộ, phép cải táng và huyền thoại

Bằng chứng của những kẻ trộm mộ cũng đã được hiển hiện. Cánh tay trái đã bị trật khớp và rồi được bọc lại dọc theo cơ thể xác ướp. Tuy nhiên, cánh tay phải của xác ướp đã cong lại ở phần khuỷu tay và phần cẳng tay đặt lên bụng, cho thấy rằng cả hai cánh tay có thể đã từng được bắt chéo theo một dạng thức tương tự. Hai ngón tay của bàn tay trái cũng bị tháo rời, có thể là do những kẻ trộm mộ, và nằm bên trong một lỗ hổng lớn của thành khoang bụng. Đáng chú ý hơn, cổ của xác ướp đã bị cắt đứt, phần đầu lìa ra và được gắn lại bằng một dải vải lanh được xử lý qua nhựa cây với một tấm bùa bảo hộ được đặt bên dưới.

Trong khi dự án cải táng do các tu sĩ của Vương triều thứ 21 thực hiện đã bị cáo buộc là có mục đích lấy đi và tái sử dụng các vật dụng hoàng gia đã được chôn cất cùng với các vị Vua trong Thời kỳ Chuyển tiếp thứ Ba, thì việc ướp lại xác của [pharaoh] Amenhotep I vẫn rất đáng chú ý. Việc ‘bóc mở’ [xác ướp] ảo đã giúp bảo vệ phần lịch sử độc đáo này, đồng thời cung cấp những hiểu biết sâu sắc về các phép cải táng và sự tôn thờ mà các tu sĩ của Vương triều thứ 21 đã thực hiện cho vị vương tôn tổ tiên của họ.

[pharaoh] Amenhotep I là vị vua thứ hai của Vương triều thứ 18, ông đã lên ngôi sau khi cha ông, [pharaoh]  Ahmose I, băng hà. Cái tên Amenhotep có nghĩa là “Amun hài lòng”. Trong thời gian trị vì của mình, ông đã bảo vệ các vùng lãnh thổ của Ai Cập, lãnh đạo một cuộc vận động đến Kush, và một cuộc viễn chinh đến Libya. Thời gian trị vì của ông là một thời kỳ yên bình, điều này cho phép ông tập trung vào việc tổ chức hành chính và xây dựng các ngôi đền như đền của thần Amun ở Karnak và đền của thần Sai ở Nubia. 

Nguồn: ETV